ライブヒルズ馬場歯科医院  札幌市清田区平岡公園東2丁目6-13 TEL: 011-883-4618
ライブヒルズ馬場歯科医院
札幌市清田区平岡公園東2丁目6-13

審美歯科

istock_000020730459large.jpg bij.jpg chiryo2.jpg
ライブヒルズ馬場歯科医院  札幌市清田区平岡公園東2丁目6-13 TEL: 011-883-4618

審美歯科

Cosmetic dental

bij.jpg whi_20200429221807394.jpg whit.jpg istock_000020730459large.jpg

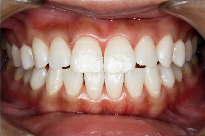
人の第一印象は、笑顔で決まります。
審美性を伴う歯科治療とは、歯の色や並び、歯肉に至るまで、口元の美しさを追求した、総合的な歯科医療です。
 
歯が全体的にくすんだ感じがする、差し歯の色が気になる、金属の詰め物が気になるなど、口元を綺麗にしたい方、お気軽にご相談ください。
 
美しい口元で、素敵な笑顔を手に入れましょう!

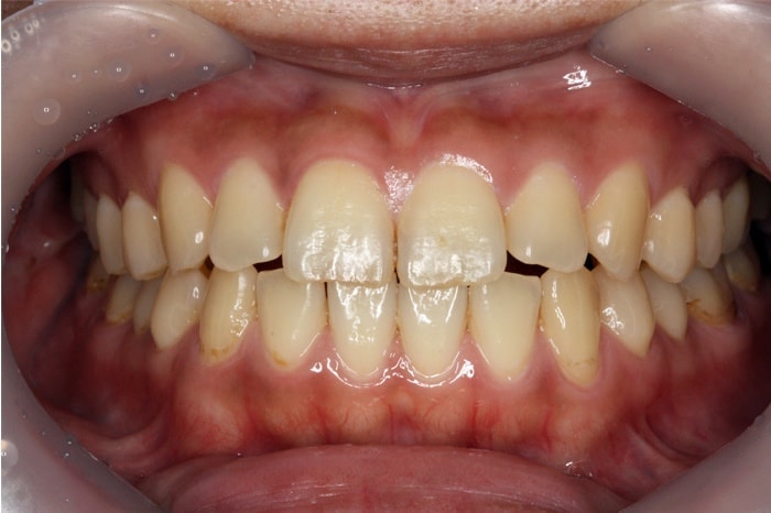
ホワイトニング

Whitening

  whi1.jpg ti.jpg ti1.jpg tio10.jpg white_(2).jpg white2_(2).jpg

ホワイトニングは、人の内面まで華やかに

ホワイト二ングを受けたいと考える理由…
歯を白く綺麗にしたい、それはもちろんですが、その先には「全体の印象として綺麗になりたい」「自分に自信を持ちたい」「思いっきり笑えるようになりたい」という内面の美しさを求めている方も多いと思います。
そんな方々の思いにも応えたい。
歯を綺麗にしていくことが自分自身を磨き、自信を持って生きて行くことにつながると思っています。
 

厚生労働省の認可を受けた薬剤のみ使用

当院では、皆様の安心安全のため、ホーム・オフィス共に厚生労働省の認可を受けた薬剤のみを使用しております。

ティオンホワイトニング

Tion Whitening

専用のお薬を塗って歯の色素を分解し、歯を削ることなく白くする方法です。
欧米では、すでに100万人以上の方がこの技術で歯を美白しています。
喫煙やコーヒー、ワインの飲用などによる歯の変色、老化や遺伝による黄ばみにも優れた効果があります。
美白剤の主成分は過酸化水素で、消毒薬のオキシドールとして知られています。
当院では、医院にて行うオフィスホワイトニング、ご自宅で行えるホームホワイトニング、両方行うデュアルホワイトニングを取り扱っております。
患者さまの歯の質やご希望などをお聞きし最適な方法をご提案いたします。

トータルホワイトニング

ホームホワイトニングとオフィスホワイトニングの組み合わせ。
短期間で高い効果が得られ、後戻りしにくいのがこの方法です。
2回法価格: 42,900円(44,190円)
1回法価格: 37,900円(39,040円)
※ホワイトニングは自費診療となりますので、1回500円の診察料がかかります。
※税込み、( )内の金額はカード払いでの価格となります。

オフィスホワイトニング

1回の施術でホワイトニング効果が出るので、短時間で歯を白くしたい方にオススメです。
1回のケアタイムは約80分です。
2回法価格: 32,500円(33,470円)
1回法価格: 27,500円(28,320円)

ホームホワイトニング

ホワイトニング専用のマウスピースを製作し、そこへ薬剤を入れ、お好きな時間に数時間装着する簡単なホワイトニング方法です。
ホワイトニングの期間は、1日1回2時間を2週間続けます。
上下セット価格: 24,600円(25,340円)

注意事項

ホワイトニングの前には歯のお掃除が必要になります。
歯のお掃除は保険適用ですが、保険で行うためには回数を分けて行う必要がありますので、ご了承下さい。
自費の歯のお掃除(5,500円、カード払いは5,660円)は1回で完了します
が、保険適用のお掃除とは内容が異なります。

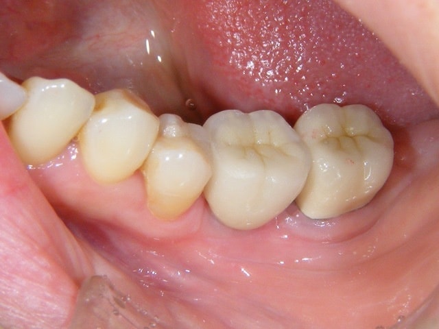
詰め物・被せ物

Ceramic

  cera_(2).jpg ce.jpg e3.jpg ce_(4).jpg cru.jpg cru1.jpg

オールセラミック

All Ceramic

金属を一切使わないセラミックのみでできた被せ物、詰め物です。
金属を使用していないため、天然歯により近い色合いや形態を再現でき、歯を美しく生まれ変わらせます。
透明感のある自然な歯にすることができる
オールセラミッククラウンの最大の特徴は、自然の歯のような透明感を出した被せ物を作ることができることです。
歯には神経があり黄色っぽい象牙質と歯の表面を覆っている透明なエナメル質があります。
このエナメル質の透明感を自然に作る事ができるのがオールセラミッククラウンなのです。
 
優秀な技工士が完成前に色、型をしっかり調整
自分のしたい白さにできる
今まで自分の歯が黄色や灰色だったので、被せる時はきれいな歯の色にしたい、このような要望にも応えられるのがオールセラミッククラウンです。
周りの歯の色に合わせたい、周りの歯の色より少し白くしたいなど、色を自由に選択することができます。
特に前歯へは金属を使わない治療をお勧めします。

被せ物(クラウン)

Crown

fc_(3).jpg c9.jpg c10.jpg
ファイバーコア・メタルコア

中にグラスフアイバーの入つた白い土台です。
土台そのものが白いので上に被せる冠がより美しく仕上がります。
また、残っている歯の根の歯根破折を起こしづらい材料です。
※いずれの補綴物も支台築造が必要な場合には1本につき別途以下の料金がかかります。
ファイバーコア前歯1本:    3,930円(4,040円)
ファイバーコア臼歯1本:    5,000円(5,150円)
メタルコア(金属土台)1本: 4,080円(4,200円)
 
※全て税込み、( )内の金額はカード払いでの価格となります

c1.jpg pb043625-c1509.jpg
ジルコニア ポーセレン築造

美しさオススメNo1!
最も新しい、金属を全く使用しないオールセラミックスの白い冠です。
素材は人エダイヤモンドと同じで、その上にポーセレンを盛って、細かいお色をご自分の歯に合わせていきます。
透明感もあり、審美性No1!
前歯にオススメです。
長くお使いいただいても変色しません。
但し、ジルコニア単体に比べると強度が劣ります。
1本: 79,300円(81,680円)

jil.jpg hc3.jpg
ジルコニア単体

丈夫さオススメNo1!
ジルコニアのみで作る冠です。
小臼歯や大臼歯にオススメです。
オールセラミックスで非常に丈夫で、変色もしません。
お色の種類が限られていて、細かいお色の再現は難しいです。
1本: 65,000円(66,950円)

mb.png me1_(2).jpg
メタルボンド

金 属の上に陶材(ご飯を食べるときに使う茶碗と同じような材料)を焼き付けて作ります。
長期間白い部分が変色しないのが最大の特徴です。
またご自分の歯との微妙な色あわせも技工士が直接口腔内であわせますので大変審美性に優れ、ご自分の天然の歯と同じ感じになります。
外側には出ませんが、内に使う金属は、金50%、パラジウム・銅等50%です。
1本: 85,000円(87,550円)

  ca7.jpg ce1_(2).jpg ca81.jpg
 

CAD / CAM

Resin

保険適用で白い歯が入ります。
レジン(プラスチック)のブロックをCAD/CAMという機械で削り出して制作するクラウン(かぶせ物)です。
今までの保険で入る白い歯に比べて、強度も2倍。
 
特徴
・自然で美しい光沢、透明感があります。
・ステインやプラークが付着しにくくなります。
・銀歯に比べ、審美性も高いです。

アクセス

Access

医院名

ライブヒルズ馬場歯科医院

院長

馬場 康成

住所

〒004-0882
札幌市清田区平岡公園東2丁目6-13

アクセス

中央バス・JRバス共に

バス停:「東栄通中央」徒歩1分

    「東栄通」  徒歩3分

電話

011-883-4618

診療時間

Date.etc

月,火,水,金曜日

 9時~12時 / 14時~18時

木,土曜日
※受付は30分前まで

 9時~12時30分

休診日

日曜・祝祭日・年末年始

お支払い

自費診療に限りカード払い可能 

 
問診票